Request an Appointment
Our Location
We are here to treat your dental emergency
(623) 878-0117
Our Office
10630 N 59th Avenue
Suite 101
Glendale
,
AZ
85304
(623) 878-0117
Office Hours
Monday
9:00am - 5:00pm
Tuesday
9:00am - 5:00pm
Wednesday
9:00am - 5:00pm
Thursday
9:00am - 5:00pm
Friday
9:00am - 5:00pm
Saturday
Closed
Sunday
Closed
Visit Us Online
Home
About Us
Our Office
Office Tour
Testimonials
Meet Dr. Bains
Services
Extractions
Night Guards
Oral Exams
Pediatric Dentistry
Periodontal Treatment
Preventative Program
Root Canals
Sedation Dentistry
Sleep Apnea
TMJ Disorders
Implant Supported Overdentures
Crowns & Caps
Dental Bridges
Dental Fillings
Dentures
Implant Dentistry
Veneers
New Patients
Media
Smile Gallery
Dental Videos
Newsletters
Dental Health
Contact
Contact Us
Request Appointment
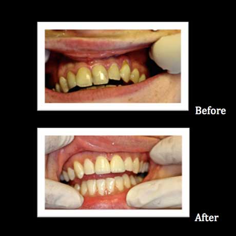
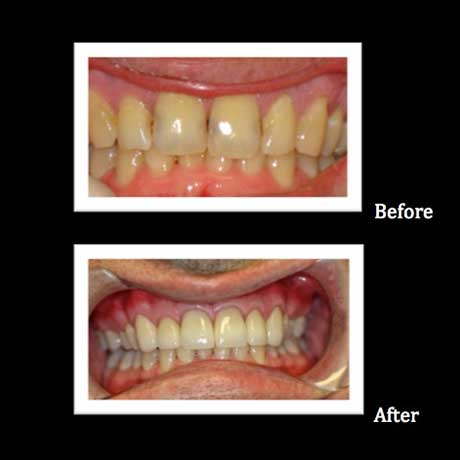
Dentistry Before and After Photos
Our Office
10630 N 59th Avenue
Suite 101
Glendale
,
AZ
85304
(623) 878-0117
Office Hours
Monday
9:00am - 5:00pm
Tuesday
9:00am - 5:00pm
Wednesday
9:00am - 5:00pm
Thursday
9:00am - 5:00pm
Friday
9:00am - 5:00pm
Saturday
Closed
Sunday
Closed
Visit Us Online
(623) 878-0117
© 2026 Healthy Teeth Family Dentistry. All Rights Reserved. |
Accessibility Policy
Dentist Website Design